Trattamento LASER

Hai bisogno di un trattamento in emergenza?

IL LASER IN ODONTOIATRIA ?
 
L (Light) A (Amplification) by S (Stimulated) E (Emission) of R (Radiation): amplificazione della luce mediante emissione stimolata di radiazioni. 
 
Il laser è un dispositivo che produce un raggio di luce monocromatica (di un unico colore), coerente e collimato.
Il laser applicato all’odontoiatria è una nuova tecnologia che tratta le patologie orali offrendo un sicuro comfort alle persone che affrontano le cure e una grande efficacia terapeutica.
 
Quali sono i vantaggi per il paziente?
 
  •  L’assenza dello spiacevole e fastidioso rumore del trapano e delle vibrazioni, del bisturi (nella piccola chirurgia) e, nella maggioranza dei casi, dell’anestesia locale e dei rischi ad essa connessi. 

  • La facilità nel trattamento dei bambini, grazie ad un impatto e a procedure meno aggressivi e traumatici. 

  • L’eliminazione dell’ipersensibilità dentale e della sgradevole sensazione di caldo e di freddo, anche dopo aver eseguito otturazioni molto profonde.

  • L’effetto emostatico, coagulante e cicatrizzante:

  • nella piccola chirurgia la terapia con il laser è meno invasiva, evita il sanguinamento, la necessità di fastidiose “cuciture” (sutura) ed elimina complicazioni e fastidi post-operatori (edema, sanguinamento, dolore, ecc.). 

  • La decontaminazione – effetto antibatterico: il laser, grazie al suo potere battericida, riduce il rischio di infezioni e recidive, evitando il gonfiore e l’infiammazione che solitamente si verificano dopo un intervento.

CASI CLINICI

Frenulectomia
Herpes Labiale
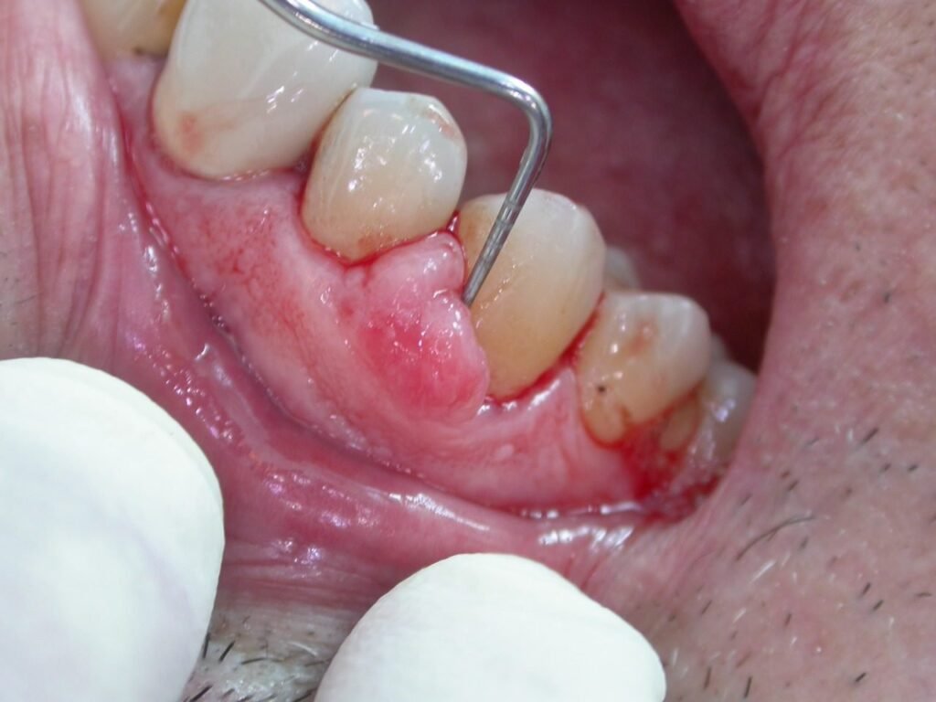
Malattia Parodontale
Afta / Ulcera
Fibroma

Incisioni senza sanguinamento, senza dolore e senza punti

Condividi con :